Caso clínico publicado en el **[NEJM](https://www.nejm.org/doi/full/10.1056/NEJMicm2213584?query=featured_nephrology)**: Un hombre de 35 años con nefropatía por IgA acudió a urgencias con síntomas de confusión mental, visión borrosa y convulsiones durante 1 día. Dos semanas antes de la presentación, comenzó a tomar ciclosporina para el tratamiento de la nefropatía por IgA. Su presión arterial era de 160/80 mm Hg.
En el examen físico, el paciente estaba somnoliento y presentaba disminución de la agudeza visual. El examen del fondo de ojo fue normal.
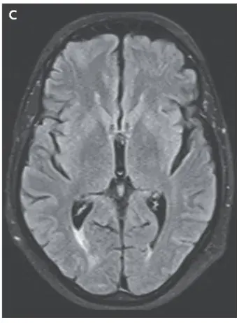
La resonancia magnética (RM) cerebral ponderada en T2 mostró una señal hiperintensa en la sustancia blanca cortical y subcortical, hallazgos consistentes con **edema vasogénico** (imágenes A y B). Los hallazgos de la angiografía por RM arterial y venosa fueron normales.

Se hizo el diagnóstico de síndrome de encefalopatía posterior reversible (PRES) debido al **uso de ciclosporina.**
**Consejos importantes**: A pesar del nombre del síndrome, el PRES no afecta solo las partes posteriores del cerebro. No olvides que puede estar asociado a la **hipertensión**, la **encefalopatía urémica, la eclampsia** o la **terapia inmunosupresora**, como fue el caso de este paciente.
Se retiró el medicamento (ciclosporina) y los síntomas del paciente y los hallazgos de la resonancia magnética se resolvieron (Imagen C).
